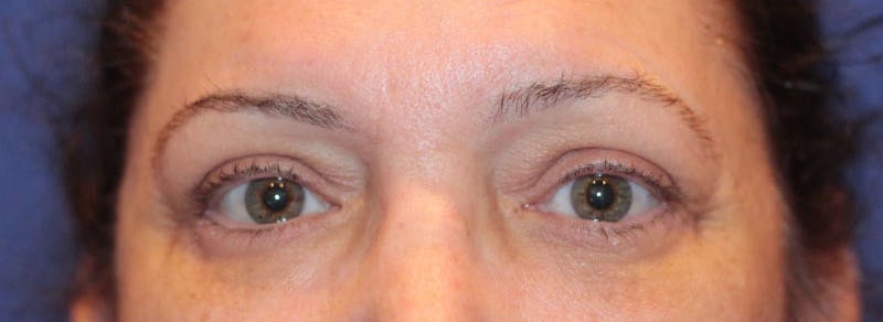
This lovely patient felt the bags underneath her eyes made her look tired. She underwent a lower blepharoplasty to remove the excess fat and skin underneath her eyes for a rejuvenated look.
This lovely patient felt the bags underneath her eyes made her look tired. She underwent a lower blepharoplasty to remove the excess fat and skin underneath her eyes for a rejuvenated look.