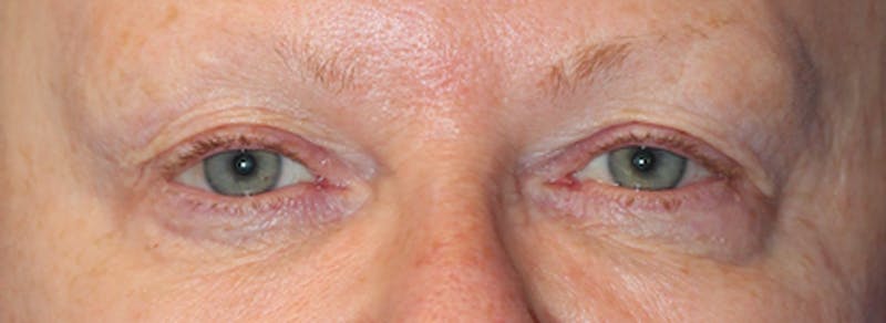
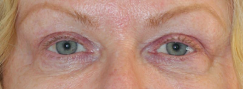
This beautiful patient wanted to correct sagging of the upper eyelids which naturally occurs as we age, so Dr. Lee performed an upper blepharoplasty to refresh the patient’s appearance! These are the results 2 months post-op. Scarring and discoloration will continue to fade, and the final result will be seen at 1 year post-op!





































