310 • 881 • 8703
Menu
Specials
310 • 881 • 8703
5 Stars from 205 reviews
About
Dr. Michelle Lee
Courtney Coons, FNP-BC
Dr. 90210 TV Show
The PERK Philosophy
Meet The Team
Reviews & Testimonials
Media & Publications
Aesthetic PERKS
Facelift
Facelift
Mini Facelift
Deep Plane Facelift
Revision Facelift
Services
Face
Breast
Body
Men
Non-Surgical
Skin
Surgical Facial Rejuvenation
Facelift
Mini Facelift
Deep Plane Facelift
Revision Facelift
Facial Fat Grafting
Forehead Reduction
Brow Lift
Eyelid Surgery
Asian Eyelid Surgery
Rhinoplasty
Ethnic Rhinoplasty
Facial Masculinization
Lip Lift
Buccal Fat Removal
Chin Augmentation
Chin Reduction
Neck Lift
Jawline Contouring
Submental Liposuction
Earlobe Repair
Otoplasty
Cyst & Mole Removal
Migraine Treatment
Facial Feminization
Breast Concerns
Small Breasts
Droopy Breasts
Overly Large Breasts
Previously Augmented Breasts
Breast Asymmetry
After Pregnancy Breasts
After Weight Loss Breasts
After Cancer Breasts
Surgical
Breast Augmentation
Breast Augmentation With Lift
Fat Transfer Breast Augmentation
Breast Lift
Breast Reduction
Male Breast Reduction
Top Surgery
Side Breast Tissue Removal
Nipple Surgery
Breast Revision Surgery
Breast Implant Removal
Capsulectomy
Breast Reconstruction
Breast Animation Correction
Prepectoral Breast Reconstruction
Surgical
Liposuction
Tummy Tuck
Arm Lift
Labiaplasty
Male Procedures
Facelift
Chin Augmentation
Male Breast Reduction
Liposuction
Botox
Injectables
BOTOX
DAXXIFY
Dermal Fillers
Liquid Facelift
Liquid Rhinoplasty
Kybella
Migraine treatment
Treatments
BBL Hero Photofacial
Moxi Laser
Sofwave Lift
Peels
Microneedling
Fractional CO2 Laser Resurfacing
Facials
Scar Treatment
Decollete Collagen Stimulation
Plasma Pen
Skin
Skincare Consultation
Skincare Products
Skincare Treatments
BBL Hero Photofacial
Moxi Laser
Sofwave Lift
Peels
Microneedling
Fractional CO2 Laser Resurfacing
Facials
Scar Treatment
Decollete Collagen Stimulation
Plasma Pen
Before/After
Resources
Payment Portal
Financing Options
Out of Town Patients
Specials
Pre and Post Surgical Diet
Pre-Surgery Guide
Post-Surgery Guide
Facial Post-Surgery Instructions
Breast Post-Surgery Instructions
Body Post-Surgery Instructions
Patient Forms
Video Consultations
Shop
Blog
Contact
Home
About
Breast
Face
Body
Men
Non-Surgical
Skincare Consultation
Resources
Home
Click above to explore the site
Our practice, your journey
About
Dr. Michelle Lee
Courtney Coons, FNP-BC
Dr. 90210 TV Show
The PERK Philosophy
Meet The Team
Reviews
Media & Publications
Aesthetic PERKS
Delicate and precise
Face
Surgical Facial Rejuvenation
Facelift
Mini Facelift
Deep Plane Facelift
Revision Facelift
Facial Fat Grafting
Forehead Reduction
Brow Lift
Eyelid Surgery
Asian Eyelid Surgery
Rhinoplasty
Ethnic Rhinoplasty
Lip Lift
Buccal Fat Removal
Chin Augmentation
Chin Reduction
Neck Lift
Jawline Contouring
Submental Liposuction
Earlobe Repair
Otoplasty
Cyst & Mole Removal
Migraine Treatment
Facial Feminization
Facial Masculinization
Breast
Breast Concerns
Small Breasts
Droopy Breasts
Overly Large Breasts
Previously Augmented Breasts
Breast Asymmetry
After Pregnancy Breasts
After Weight Loss Breasts
After Cancer Breasts
Surgical
Breast Augmentation
Breast Augmentation With Lift
Fat Transfer Breast Augmentation
Breast Lift
Breast Reduction
Male Breast Reduction
Top Surgery
Side Breast Tissue Removal
Nipple Surgery
Breast Revision Surgery
Breast Implant Removal
Capsulectomy
Breast Reconstruction
Breast Animation Correction
Prepectoral Breast Reconstruction
Make the mirror your friend
Body
Liposuction
Tummy Tuck
Arm Lift
Labiaplasty
Plastic Surgery for Men
Men
Male Procedures
Facelift
Chin Augmentation
Male Breast Reduction
Liposuction
Botox
Non-Surgical
Injectables
BOTOX
DAXXIFY
Dermal Fillers
Liquid Facelift
Liquid Rhinoplasty
Kybella
Migraine treatment
Treatments
BBL Hero Photofacial
Moxi Laser
Sofwave Lift
Peels
Microneedling
Fractional CO2 Laser Resurfacing
PERK Gold Facial
Scar Treatment
Decollete Collagen Stimulation
Plasma Pen
Stay confident, stay fresh
Skin
Skincare Consultation
Skincare Products
BBL Hero Photofacial
Moxi Laser
Sofwave Lift
Peels
Microneedling
Fractional CO2 Laser Resurfacing
PERK Gold Facial
Scar Treatment
Decollete Collagen Stimulation
Plasma Pen
Get the info you need
Resources
Payment Portal
Financing Options
Out of Town Patients
Specials
Pre and Post Surgical Diet
Pre-Surgery Guide
Post-Surgery Guide
Facial Post-Surgery Instructions
Breast Post-Surgery Instructions
Body Post-Surgery Instructions
Patient Forms
Video Consultations
Gallery
Blog
Shop
Contact
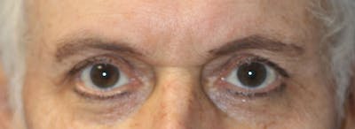
Brow Lift Gallery
Brow Lift
Blepharoplasty
Brow Lift
Buccal Fat Removal
Chin Augmentation
Ear Surgery
Facelift
Facial Fat Grafting
Facial Feminization
Facial Reconstruction
Lip Lift
Moles And Cysts
Nasal Reconstruction
Neck Lift
Neck Liposuction
Plasma Pen
Rhinoplasty
<< Back to Gallery
Schedule
Schedule a Consultation
PERK up your Inbox...
Email Address
Watch Beverly Hills Plastic Surgeon Dr. Michelle Lee on the Dr. 90210 TV Show on Hulu
Learn More →
Contact Us Today
Home
About
Breast
Face
Body
Men
Non-Surgical
Skincare Consultation
Resources
Home
Click above to explore the site
Our practice, your journey
About
Dr. Michelle Lee
Courtney Coons, FNP-BC
Dr. 90210 TV Show
The PERK Philosophy
Meet The Team
Reviews
Media & Publications
Aesthetic PERKS
Delicate and precise
Face
Surgical Facial Rejuvenation
Facelift
Mini Facelift
Deep Plane Facelift
Revision Facelift
Facial Fat Grafting
Forehead Reduction
Brow Lift
Eyelid Surgery
Asian Eyelid Surgery
Rhinoplasty
Ethnic Rhinoplasty
Lip Lift
Buccal Fat Removal
Chin Augmentation
Chin Reduction
Neck Lift
Jawline Contouring
Submental Liposuction
Earlobe Repair
Otoplasty
Cyst & Mole Removal
Migraine Treatment
Facial Feminization
Facial Masculinization
Breast
Breast Concerns
Small Breasts
Droopy Breasts
Overly Large Breasts
Previously Augmented Breasts
Breast Asymmetry
After Pregnancy Breasts
After Weight Loss Breasts
After Cancer Breasts
Surgical
Breast Augmentation
Breast Augmentation With Lift
Fat Transfer Breast Augmentation
Breast Lift
Breast Reduction
Male Breast Reduction
Top Surgery
Side Breast Tissue Removal
Nipple Surgery
Breast Revision Surgery
Breast Implant Removal
Capsulectomy
Breast Reconstruction
Breast Animation Correction
Prepectoral Breast Reconstruction
Make the mirror your friend
Body
Liposuction
Tummy Tuck
Arm Lift
Labiaplasty
Plastic Surgery for Men
Men
Male Procedures
Facelift
Chin Augmentation
Male Breast Reduction
Liposuction
Botox
Non-Surgical
Injectables
BOTOX
DAXXIFY
Dermal Fillers
Liquid Facelift
Liquid Rhinoplasty
Kybella
Migraine treatment
Treatments
BBL Hero Photofacial
Moxi Laser
Sofwave Lift
Peels
Microneedling
Fractional CO2 Laser Resurfacing
PERK Gold Facial
Scar Treatment
Decollete Collagen Stimulation
Plasma Pen
Stay confident, stay fresh
Skin
Skincare Consultation
Skincare Products
BBL Hero Photofacial
Moxi Laser
Sofwave Lift
Peels
Microneedling
Fractional CO2 Laser Resurfacing
PERK Gold Facial
Scar Treatment
Decollete Collagen Stimulation
Plasma Pen
Get the info you need
Resources
Payment Portal
Financing Options
Out of Town Patients
Specials
Pre and Post Surgical Diet
Pre-Surgery Guide
Post-Surgery Guide
Facial Post-Surgery Instructions
Breast Post-Surgery Instructions
Body Post-Surgery Instructions
Patient Forms
Video Consultations
Gallery
Blog
Shop
Contact
310 • 881 • 8703