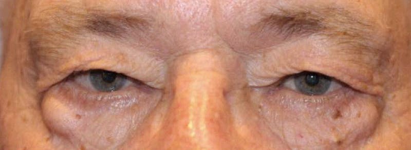
This patient had excess skin above his eyelids. The extra skin even interfered with his vision. He underwent bilateral upper blepharoplasty to remove the extra skin. It helped to unblock his visual fields and rejuvenated his eyes.
This patient had excess skin above his eyelids. The extra skin even interfered with his vision. He underwent bilateral upper blepharoplasty to remove the extra skin. It helped to unblock his visual fields and rejuvenated his eyes.