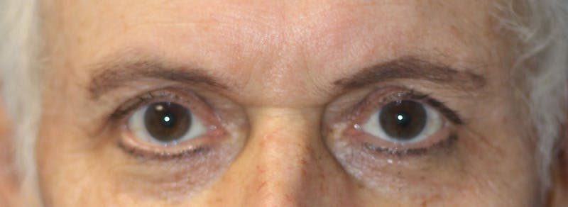
This is our patient's transformational facial rejuvenation results at 2 weeks post-op. Dr. Lee performed a brow lift and upper blepharoplasty.
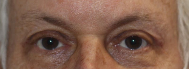
This is our patient's transformational facial rejuvenation results at 2 weeks post-op. Dr. Lee performed a brow lift and upper blepharoplasty.